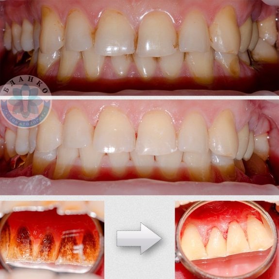
Профессиональная чистка зубов

Чистить зубы у стоматолога раз в пол года нужно даже если ничего не беспокоит! 🦷😊
Другие статьи
Просмотреть все новости




