Коронка на зуб

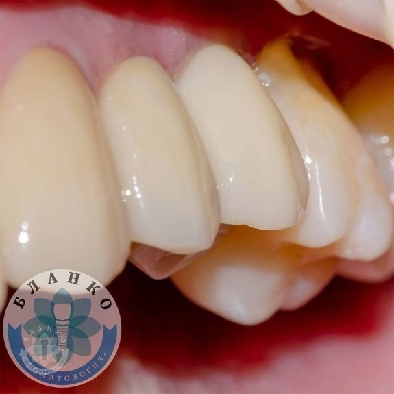
Глубокое разрушение😳👿
Чем более глубоко под десну разрушен зуб — тем сложнее он поддается адекватному восстановлению☝
В данном клиническом случае два зуба восстановлены культевыми вкладками, изготовлены коронки из оксида циркония, третий зуб восстановлен с помощью прямой фотополимерной реставрации 😁👍
Другие статьи
Просмотреть все новости









