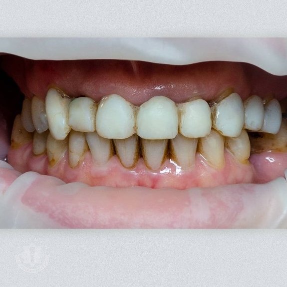
Тотальное протезирование зубов

💎Была проделана большая работа, всё описать займет слишком много текста, приходите на консультацию.
👍Протезирование зубов с помощью безметалловой керамики на основе оксида циркония — лучшее решение для восстановления функции и эстетики зубов !
💙Сделано с любовью в стоматологии «Бланко»
Другие статьи
Просмотреть все новости







