Лікування карієсу фронтальних зубів Дніпро

😍👍Естетична реставрація зубів.
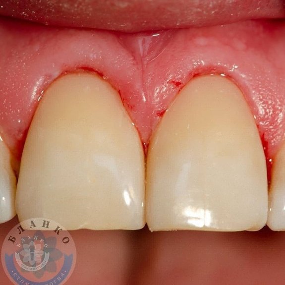
Карієс центральних різців верхньої щелепи.
💎1 фото – вихідна ситуація пацієнта.
💎2 фото – на етапі лікування (препарування з вестибулярної та піднебінної поверхні).
💎3 фото – кінцевий результат одразу після реставрації. (Десни відновляться протягом кількох днів).
🌟Робота нашого лікаря-стоматолога, Карини Олександрівни👩⚕@dr.buhinna
Другие статьи
Переглянути усі новини






