Карієс передніх зубів лікування ціна

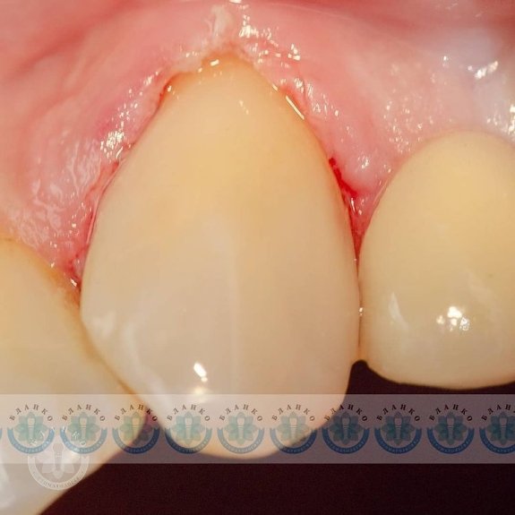
Ікло – завжди особливий зуб, через складну анатомію та контактні пункти.
Але ми чудово впоралися 👍🦋
Завжди до ваших послуг 😍
Реставрація поставлена біля ясен вимагає особливого полірування, ясна протягом двох днів набуває здорового вигляду, за цей час не турбує.
Якщо цього не зробити — ясна постійно запалюватиметься.
🤩👩⚕🎉
Другие статьи
Переглянути усі новини








