Зубний міст на передні зуби

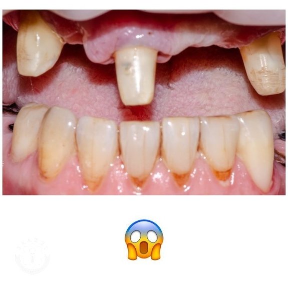
☎✳️Пацієнтка звернулася з метою відновлення естетики та жувальної функції переднього відділу зубів верхньої щелепи.
👩🏼⚕Зроблено терапевтичне лікування та протезування мостоподібною конструкцією з оксиду цирконію.
Другие статьи
Переглянути усі новини






