Професійне чищення зубів

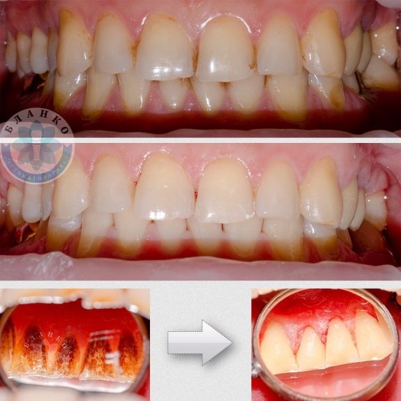
Чистити зуби у стоматолога раз на пів року потрібно, навіть якщо нічого не турбує! 🦷😊
Другие статьи
Переглянути усі новини




