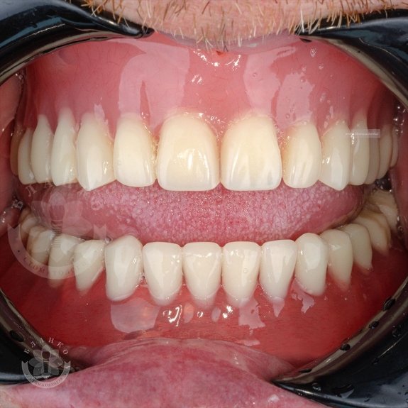
Імплантація при повній відсутності зубів / протез на індивідуальній балці із кобальт-хрому

😔 Скарги на повну відсутність зубів на верхній та нижній щелепі
✔️ На нижній щелепі було встановлено 4 імпланти
✔️ На імплантах зафіксовано індивідуально виготовлену металеву балку з кобальт-хрому
✔️ Балка служить ретенційним об’єктом для протезу (тип з’єднання «мама-тато»),протез набуває жорсткої фіксації
✔️ У людини з’являється можливість вживати тверду їжу, посміхатися і розмовляти не боячись того, що протез втратить своє становище в самий невідповідний момент
✔️ Такий тип протезування дозволяє уникнути довгої та дорогої кісткової пластики
Другие статьи
Переглянути усі новини







